Autores: Andrea Michel Montelongo Gómez, Andrea Michelle Martínez Hernández, Valeria Citlalli Mota Ávila
Adscripción de autores: estudiantes de la universidad Cuauhtemoc Campus San Luis Potosí, de la licenciatura en Odontologia de segundo semestre grupo C.
La periodontitis es una infección grave de las encías que puede afectar la salud general. Según la Asociación Dental Americana, «la periodontitis es una infección grave de las encías que daña el tejido blando y, sin tratamiento, puede destruir el hueso que sostiene los dientes» (ADA, 2024). De manera similar, la Clínica Mayo explica que «la periodontitis puede hacer que los dientes se aflojen o incluso se pierdan» (Mayo Clinic, 2024).
Estudios recientes muestran que la bacteria Porphyromonas gingivalis, causante de esta enfermedad, puede empeorar problemas metabólicos como la resistencia a la insulina y la intolerancia a la glucosa. Esto se debe a la inflamación que provoca en todo el cuerpo, afectando el sistema inmunológico y la microbiota. Dado que muchas personas en México tienen diabetes, estos hallazgos destacan la importancia de cuidar las encías para prevenir enfermedades más graves
Introducción
La periodontitis es una enfermedad inflamatoria crónica que afecta los tejidos que sostienen los dientes. Aunque por mucho tiempo se ha considerado únicamente un problema de salud bucal, investigaciones recientes han revelado que también puede influir en el desarrollo de enfermedades metabólicas como la obesidad y la resistencia a la insulina.

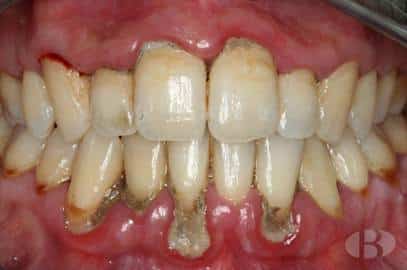
Figura 1. Ilustración sobre la periodontitis crónica. Tomado de Tratamiento básico de la periodontitis crónica, por Clínica Dental Borrás, 2020, https://dentalborras.com/tratamiento-basico-de-la-periodontitis-cronica/.
La resistencia a la insulina ocurre cuando las células del cuerpo dejan de responder adecuadamente a esta hormona, lo que dificulta el control de los niveles de glucosa en la sangre. Según la Asociación Americana de Diabetes, “cuando el cuerpo no usa bien la insulina, los niveles de glucosa en la sangre pueden aumentar, lo que con el tiempo puede llevar a la diabetes tipo 2” (ADA, 2024). Además, esta condición puede aumentar el riesgo de enfermedades cardiovasculares y presión arterial alta.
Por otro lado, una dieta alta en grasas, especialmente grasas saturadas y trans, puede agravar estos problemas. Alimentos como comida rápida, frituras, embutidos y postres procesados son algunas de las fuentes más comunes de este tipo de grasas. La Organización Mundial de la Salud advierte que “una dieta alta en grasas saturadas y trans aumenta el riesgo de enfermedades cardiovasculares y obesidad” (OMS, 2024).
Estudios realizados en modelos animales han demostrado que la periodontitis provocada por la bacteria Porphyromonas gingivalis altera la microbiota oral, intensifica la inflamación y afecta el metabolismo. Estos hallazgos sugieren que la salud bucal podría desempeñar un papel importante en la prevención de enfermedades metabólicas, y que el sistema inmunológico podría ser un intermediario clave en esta relación.
Desarrollo
Porphyromonas gingivalis es una bacteria gramnegativa, anaerobia obligada, no móvil, con forma de bacilo, que forma parte de la microbiota oral humana. Se encuentra comúnmente en las bolsas periodontales profundas y está fuertemente asociada con enfermedades periodontales crónicas, especialmente la periodontitis.Existen evidencias crecientes de que P. gingivalis puede contribuir a enfermedades fuera de la cavidad oral como enfermedades cardiovasculares,diabetes tipo 2, artritis reumatoide,enfermedades neurodegenerativas.
Para este artículo nos centraremos en las implicaciones de dicha bacteria en la resiliencia a la insulina, un estudio reciente con ratones ha demostrado que la periodontitis puede empeorar significativamente la resistencia a la insulina, especialmente cuando se combina con una dieta rica en grasas.
Esta bacteria no solo daña directamente las encías, sino que también altera la composición de la microbiota oral. Como consecuencia, se desencadena una respuesta inmunitaria que puede afectar negativamente el metabolismo de la glucosa (Blasco-Baque et al., 2017). Estos resultados nos muestran que la diabetes tipo 2 no está relacionada únicamente con la alimentación o el ejercicio, sino también con el estado de salud bucal.
La bacteria Pg produce una sustancia llamada lipopolisacárido (LPS), también conocidos como endotoxinas, son un componente estructural de las bacterias.Cuando los LPS entran en el organismo, activan una fuerte respuesta del sistema inmune innato además de activar las células inflamatorias provocando una inflamación persistente de bajo grado en el organismo. Este tipo de inflamación afecta órganos como el hígado y los músculos, impidiendo que la insulina actúe de manera eficiente (Blasco-Baque et al., 2017).

Figura 2.Ilustración de las enfermedades en las que se han encontrado implicaciones por Porphyromonas gingivalis. Tomado de Implications of
Porphyromonas gingivalis peptidyl arginine deiminase and gingipain R in human health and diseases, por Chow, Y. C., Yam, H. C., Gunasekaran, B., Lai, W. Y., Wo, W. Y., Agarwal, T., Ong, Y. Y., Cheong, S. L., & Tan, S.-A., 2022, Frontiers in Cellular and Infection Microbiology, 12, 987683. https://doi.org/10.3389/fcimb.2022.987683. Bajo licencia Creative Commons CC BY 4.0.
Los investigadores observaron que los ratones alimentados con una dieta rica en grasas y que presentaban periodontitis desarrollaron mayor resistencia a la insulina en comparación con aquellos que solo tenían la dieta alta en grasas, pero sin inflamación en las encías (Blasco-Baque et al., 2017). En otras palabras, la presencia de la enfermedad periodontal agravaba el problema metabólico.
La resistencia a la insulina es una condición metabólica en la cual las células del cuerpo responden de manera ineficiente a la insulina, una hormona que permite la entrada de glucosa en las células. Como resultado, el páncreas produce más insulina para compensar, pero con el tiempo, esta compensación puede fallar y llevar a hiperglucemia, un paso clave en el desarrollo de la diabetes tipo 2.La enfermedad periodontal y la resistencia a la insulina están interconectadas a través de procesos inflamatorios crónicos ya que la bacteria Pg estimulan producción de citoquinas proinflamatorias (IL-6, TNF-α, etc.), que interfieren con la señalización de la insulina.

Figura 3. Ilustración sobre la resistencia a la insulina. Tomado de La resistencia a la insulina (RI): más común de lo que creemos, por M. Díaz Requejo, 2022, Terapeutics. https://terapeutics.com/la-resistencia-a-la-insulina-mas-comun-de-lo-que-creemos/.
Sin embargo, también se encontró una posible solución. Cuando los ratones fueron vacunados con una versión inactiva de esta bacteria, su sistema inmunológico generó anticuerpos específicos y logró protegerse de los efectos negativos sobre el metabolismo (Blasco-Baque et al., 2017). Incluso, al transferir células inmunes de ratones con periodontitis a otros individuos, estos últimos mostraron una mejor respuesta en el control de la glucosa.
Estos hallazgos abren nuevas posibilidades terapéuticas, como el desarrollo de vacunas que ayuden a prevenir o reducir el impacto de enfermedades bucales sobre el metabolismo. En resumen, mantener una buena salud oral podría ser más importante de lo que creemos, no solo para prevenir problemas dentales, sino también para protegernos de enfermedades metabólicas como la diabetes tipo 2.
Referencias
Blasco-Baque, V., Garidou, L., Pomié, C., et al. (2017). Periodontitis induced by Porphyromonas gingivalis drives periodontal microbiota dysbiosis and insulin resistance via an impaired adaptive immune response.
Gut, 66(5), 872–885.
MedlinePlus. (2023, octubre 12). Periodontitis. Biblioteca Nacional de Medicina de EE. UU.
Imágenes
Díaz Requejo, M. (2022, abril 19). La resistencia a la insulina (RI): más común de lo que creemos.
Terapeutics. https://terapeutics.com/la-resistencia-a-la-insulina-mas-comun-de-lo-que-creemos/
Chow, Y. C., Yam, H. C., Gunasekaran, B., Lai, W. Y., Wo, W. Y., Agarwal, T., Ong, Y. Y., Cheong, S. L., & Tan, S.-A. (2022). Implications of Porphyromonas gingivalis peptidyl arginine deiminase and gingipain R in human health and diseases. Frontiers in Cellular and Infection Microbiology, 12, 987683.
Clínica Dental Borrás. (2020, marzo 5). Tratamiento básico de la periodontitis crónica.


